世語圖說
2025年12月14日
聯繫我們
首頁
健康
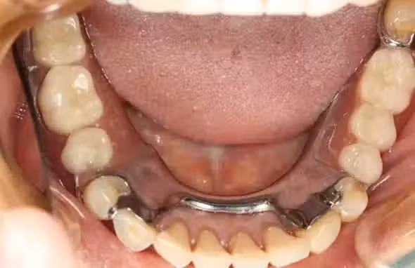
資深牙醫良心勸告:能裝假牙,就儘量不要植牙,牙不好的人早了解早受益...
2025-05-04
呂純弘
反饋
3
/
7
當看到牙醫時,你的問題來了──假牙還是植牙?
其中,活動假牙又叫全口義齒,屬於「鑲牙」,而鑲牙的另一種則是固定假牙(烤瓷牙)。
由於價格與功效居中,暫不討論,今天僅以價格最低的假牙和價格最高的植牙作比較,來揭秘牙醫沒對你說的那些事兒。
植牙未見得比假牙好
植牙是缺牙時的治療方式之一,但非首選,是沒有辦法的最終選擇。
國內外有別,國外高水準國家的傳統假牙治療費用比植牙還貴;但國內卻相反,假牙水準普遍不如國際水準,植牙收費較高。
利益的驅使下,便會使勁鼓吹植牙,造成浮濫。
上一頁
3
/
7
下一頁
經常咳痰的人,這6樣食物要避開,傷肺又加重,吃多了痰更難消
幸山輪 • 26K次觀看
體內有癌,屁眼先知?提醒:屁眼若常有5種不適,警惕癌症在靠近_腫瘤_感覺_症狀
幸山輪 • 830次觀看
子宮「不喜歡」的5種水果!柿子排最後 「排第1的」很多女性經常吃
喬峰傳 • 3K次觀看
60歲男子糖尿病致死!醫生:不想常坐救護車,這6種水果要少吃
呂純弘 • 1K次觀看
吃到毒蛋怎麼辦?營養師教4招安心排毒 5至7天可排出體內
李雅惠 • 300次觀看
有沒有糖尿病,散步就知道?醫生:糖尿病患者,散步或有3個異常
幸山輪 • 600次觀看
癌症為啥越來越多?醫生:4種食物,再饞也要少吃,吃多了扛不住
幸山輪 • 230次觀看
醫生提示:腎衰早期除了泡沫尿,還有這幾個異常,一定要注意觀察
幸山輪 • 560次觀看
45歲中年女子確診脂肪肝,天天都吃番茄,3月後複診,醫生:怎麼吃的?
老臘肉 • 870次觀看
生、熟香蕉功效各異!營養師:依身體需求選擇最佳熟度
李雅惠 • 150次觀看
「嘴饞≠餓」恐是水喝不夠!營養師揭「缺水4警訊」:頭痛又易累
李雅惠 • 170次觀看
女性衰老「加速器」公布,勤洗頭排第2名,榜首才是關鍵
呂純弘 • 540次觀看
台灣人注意!醫勸「市場超夯3種魚」別吃了 曝1關鍵:恐加速失智、罹癌
李雅惠 • 180次觀看
再吃多一次,大腦萎縮就快一次!!這六種食物是大腦老化的「加速器」早知道早預防
喬峰傳 • 450次觀看
47歲阿姨「檢查出HPV」崩潰:我單身都沒親密生活欸!醫示警「中年女性常犯」觀念錯誤悔一生
老臘肉 • 4K次觀看
5年只喝桶裝水!!30歲夫妻「同時腹痛」竟罹肝癌…醫揪兇手是「它」全網傻眼:我家也在喝!!
喬峰傳 • 1K次觀看
癌症來臨,身體會喊痛!這6處出現疼痛「恐是癌症上門」:別以為只是累!
奚芝厚 • 210次觀看
脂肪肝沒了「早上改吃2物」 她三個月瘦5公斤 醫師也點頭
許夢可 • 160次觀看
今天才知道,這5種食物不會過期,放得越久越有價值,看完提醒家人.
舒黛葉 • 840次觀看
爸爸一個「親子動作」把兒子送進加護病房!! 醫生「一句重話」讓他當場崩潰跪地:一生無法原諒自己
喬峰傳 • 240次觀看
男人每天排尿次數接近這個數,那恭喜,尿毒症可能離你還很遠
幸山輪 • 130次觀看
醫生警告:早晨空腹時,千萬別吃這2種食物,會損傷胃粘膜,並加重原有的胃痛!!
喬峰傳 • 2K次觀看
睡覺時突然腿抽筋,就是缺鈣嗎?錯!與3種疾病有關,多加註意
幸山輪 • 290次觀看
「無聲殺手」食道癌一查就是惡性!其實喉嚨早早給暗示「2症狀趕快就醫…」
呂純弘 • 5K次觀看